试卷详情
头颅和五官试题3
2019 | 章节练习 |
50.00分 | 50题 |
200分钟 | VIP独享 |
试卷预览
- 单项选择题1、脱髓鞘疾病的常见病理改变不包括()。
A、神经轴索严重坏死
B、神经纤维髓鞘破坏
C、小静脉周围炎性细胞浸润
D、病变分布于中枢神经系统白质
E、神经细胞相对完整
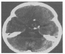
- 单项选择题2、 女性,12岁。视物模糊8个月,伴多饮多尿,月经未来潮。CT检查如图,请根据CT图像给出正确诊断()。
A、动脉瘤
B、颅咽管瘤
C、错构瘤
D、垂体瘤
E、脑膜瘤
- 单项选择题3、脑出血与脑梗死的CT表现相似的时期是()。
A、亚急性晚期
B、超急性期
C、亚急性早期
D、急性期
E、慢性期
最新试卷
- 对象名 'zuotishi.dbo.texampaper' 无效。
最新试题
- 对象名 'zuotishi.dbo.texamsubjects' 无效。