试卷详情
呼吸、循环系统试题3
2019 | 章节练习 |
60.00分 | 60题 |
200分钟 | VIP独享 |
试卷预览
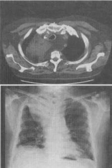
- 单项选择题1、 患者男,71岁,消瘦、咳嗽、胸痛,结合胸片和CT,最可能的诊断是()。
A、脂肪肉瘤
B、心包脂肪垫
C、脂肪蓄积症
D、胸腺脂肪瘤
E、胸腺囊肿
- 单项选择题2、下列所述哪项与大量心包积液X线征象不符()。
A、卧位透视时见心底阴影增宽
B、心脏普遍增大,心缘各弧消失
C、多数患者见明显肺淤血改变
D、心脏搏动减弱或消失
E、心影大小短期内可明湿改变
- 单项选择题3、以下关于干酪性肺炎的说法不正确的是()。
A、以渗出性和干酪性病变为主
B、好发于抵抗力极低、对结核菌素敏感性高的病人
C、X线表现为叶段性实变,并可见急性空洞
D、因干酪样坏死明显,故传染性低
E、纵隔可见环样淋巴结
最新试卷
- 对象名 'zuotishi.dbo.texampaper' 无效。
最新试题
- 对象名 'zuotishi.dbo.texamsubjects' 无效。