试卷详情
泌尿、生殖系统试题3
2019 | 章节练习 |
60.00分 | 60题 |
200分钟 | VIP独享 |
试卷预览
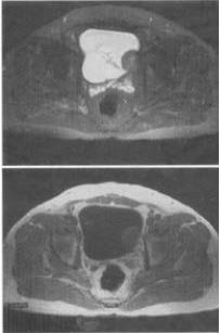
- 单项选择题1、 男,59岁,血尿1个月,MRI检查如图所示。最可能的诊断是()。
A、膀胱内血块
B、膀胱癌
C、膀胱结石
D、膀胱息肉
E、输尿管囊肿
- 单项选择题2、膀胱癌盆腔淋巴转移的诊断标准是淋巴结直径大于()。
A、5mm
B、10mm
C、15mm
D、20mm
E、25mm
- 单项选择题3、关于前列腺增生症,下列描述错误的是()。
A、前列腺增生结节绝大多数发生在中央叶
B、增生结节T2加权像可呈低信号
C、增生结节T2加权像可呈高信号
D、增生结节周围可见环形低信号
E、增生结节T1加权像可呈高信号
最新试卷
- 对象名 'zuotishi.dbo.texampaper' 无效。
最新试题
- 对象名 'zuotishi.dbo.texamsubjects' 无效。