试题详情
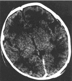
- 单项选择题患儿,女,15天,吸吮反射减弱,CT检查如下图,最可能的诊断为()

A、脑水肿
B、新生儿缺氧缺血性脑病
C、脑出血
D、先天性无脑回
E、先天性巨脑回
- B
关注下方微信公众号,在线模考后查看

热门试题
- 在平片上,蝶鞍增大和(或)破坏见于下列哪
- 患者,男,60岁,右侧颜面肿胀,右眼球渐
- 患者,男,60岁,右侧颜面肿胀,右眼球渐
- 急性脑卒中宜选择()
- 下列关于腮腺良性肿瘤的描述错误的是()
- 患者,女,38岁,头痛、头晕、耳鸣2年,
- 患儿,男,10岁,MRI示第四脑室内一边
- 患者,女,23岁,两下肢感觉麻木,结合图
- 颅脑疾病患者CT的间接征象是()
- 咽后脓肿的高发年龄多见于()
- 患者,男,43岁,右眼突出5个月,甲状腺
- 患者,女,68岁,右侧肢体活动不利8天,
- 关于海绵状血管瘤和脑膜瘤的鉴别点,下列说
- 喉癌的CT表现错误的是()
- 关于肿块在MRI的信号改变,下列说法错误
- 瓦氏位可显示鼻窦不包括()
- 对于“涎腺肿瘤”临床特点的描述,下列说法
- 鼻腔和鼻窦各部位的恶性肿瘤的发生率依次为
- 下列哪支血管闭塞后最容易导致偏瘫()
- 患者,男,75岁,头痛3个月,并左侧肢体