试卷详情
呼吸、循环系统试题9
2019 | 章节练习 |
60.00分 | 60题 |
200分钟 | VIP独享 |
试卷预览
- 单项选择题1、能够准确反映主动脉瓣狭窄程度的无创性检查是()。
A、心电图检查
B、心音图检查
C、心脏X线检查
D、二维实时超声心动图检查
E、心尖搏动图检查
- 单项选择题2、动脉导管未闭出现右心室肥厚时提示()。
A、肺静脉高压
B、肺水肿
C、肺栓塞
D、肺动脉高压
E、心力衰竭
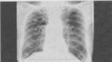
- 单项选择题3、 患者男,69岁,胸闷气逼多年,近来咳嗽,无胸痛、无痰中带血,X线检查如图,最可能的诊断是()。
A、慢支肺气肿、右上肺肿瘤
B、慢支肺气肿、右上肺炎性假瘤
C、慢支肺气肿、右上肺结核瘤
D、慢支肺气肿、肺转移瘤
E、慢支肺气肿、结节病
最新试卷
- 对象名 'zuotishi.dbo.texampaper' 无效。
最新试题
- 对象名 'zuotishi.dbo.texamsubjects' 无效。