试卷详情
呼吸、循环系统试题5
2019 | 章节练习 |
60.00分 | 60题 |
200分钟 | VIP独享 |
试卷预览
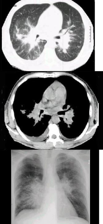
- 单项选择题1、 HIV阳性患者近来咳嗽,胸闷,胸片检查发现病变,CT检查如图,最有可能的诊断为()。
A、肺淋巴瘤
B、卡波济肉瘤
C、双肺感染
D、间质性肺炎
E、肺癌
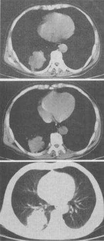
- 单项选择题2、 男,66岁,胸痛1个月,胸部CT如图,最可能的诊断是()。
A、右下肺周围型肺癌
B、右下肺动静脉瘘
C、右下肺肉瘤
D、右下肺错构瘤
E、右侧炎性假瘤
- 单项选择题3、胸骨后甲状腺好发于()。
A、中纵隔下区
B、上纵隔
C、中纵隔中区
D、前纵隔
E、后纵隔
最新试卷
- 对象名 'zuotishi.dbo.texampaper' 无效。
最新试题
- 对象名 'zuotishi.dbo.texamsubjects' 无效。