试卷详情
泌尿、生殖系统试题7
2019 | 章节练习 |
60.00分 | 60题 |
200分钟 | VIP独享 |
试卷预览
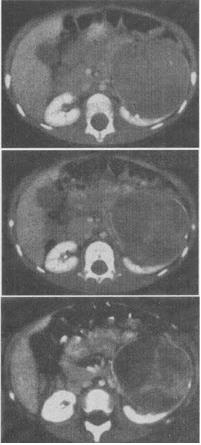
- 单项选择题1、 女,54岁,发现腹部包块,根据所示图像,最可能的诊断是()。
A、左侧肾癌
B、左侧单纯性肾囊肿
C、左侧肾囊肿合并出血
D、左侧囊性肾癌
E、左侧肾血管平滑肌脂肪瘤
- 单项选择题2、下列提示恶性畸胎瘤的是哪一项?()
A、病变的部位
B、发病的年龄
C、病变周围受侵
D、病变的大小
E、病变的信号强度
- 单项选择题3、患者女性,35岁,因不孕就诊,CT扫描子宫增大呈分叶状,表面光滑,子宫肌壁内实性略低密度影,有钙化,宫腔受压移位,考虑为()。
A、子宫肌腺瘤
B、葡萄胎
C、子宫肌瘤
D、子宫内膜癌
E、妊娠
最新试卷
- 对象名 'zuotishi.dbo.texampaper' 无效。
最新试题
- 对象名 'zuotishi.dbo.texamsubjects' 无效。