试题详情
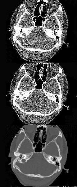
- 单项选择题男,23岁,右耳流脓十余年,右外耳道流脓,鼓膜穿孔,CT检查如图,最可能诊断为()。

A、慢性中耳乳突炎
B、中耳乳突结核
C、中耳癌
D、嗜酸性肉芽肿
E、海绵化期耳硬化症
- A
关注下方微信公众号,在线模考后查看

热门试题
- 围成鼓室的结构是()。
- 不是鼓膜内陷特征的是()。
- 关于胆脂瘤袋状内陷学说的叙述,哪项有误(
- 不是老年性聋特征的选项是()。
- 来源于耳蜗神经的复合动作电位(AP)的特
- 经迷路进路切除听神经瘤的优点是()。
- 面神经疾病的定位检查法不包括哪项有()。
- 中耳的主要功能是()。
- 关于胆脂瘤命名有误的是()。
- 药物性前庭耳蜗损害的特点是()。
- 耳声发射是在听觉正常者的外耳道记录到的耳
- 对周围性眩晕的描述,不正确的是()。
- 对耳郭假性囊肿描述正确的是()。
- 下述哪一项不属于视动性反射检查()。
- 女,56岁,右侧中耳术后发现右外耳道新生
- 中耳的阻抗匹配作用是通过鼓膜与听骨链组成
- 检查小听神经瘤的结果,正确的是()。
- 对耳郭解剖生理特征的描述,不正确的是()
- 听性脑干反应测听的I波来源于()。
- 对眩晕的描述,不正确的是()。