试题详情
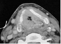
- 单项选择题男,55岁,声嘶6年,有长期吸烟史。检查:无呼吸困难。喉镜检查:声带慢性充血,可见右侧声带可见菜花样新生物,右侧声带活动固定,喉部CT检查如下图:
最佳的治疗方案是()。 A、间接喉镜下肿物切除
B、生物治疗
C、手术或放疗
D、化疗
E、手术加化疗
- C
关注下方微信公众号,在线模考后查看

热门试题
- 对颈部分区的描述,正确的是()。
- 颈部囊性水瘤多位于()。
- 患者,男,2d前车祸中碰伤胸部并被圆钝硬
- 甲状舌瘘()。
- 患者,男性,23岁,发热头痛3天,伴咽旁
- 腹部器官的恶性肿瘤易转移到()。
- 颈部血管开放性创伤可出现()。
- 甲状舌管囊肿多位于()。
- 神经鞘膜瘤多发生于()。
- 包绕颈阔肌的颈部筋膜为()。
- 可能为甲状舌管囊肿的是()。
- 女性,46岁,右颈部无痛性包块,质软,M
- 颈淋巴结结核是()。
- 16岁女性患者,右侧面颊部肿胀,CT扫描
- 患者,女性,32岁,因发现颈部肿块一个月
- 咽丛位于()。
- 患者,男性,19岁,因颈部肿块2年余入院
- 后天性颈动-静脉瘘的特征症状是()。
- 颈部淋巴结炎的临床症状可表现为()。
- 喉返神经支配()。