试题详情
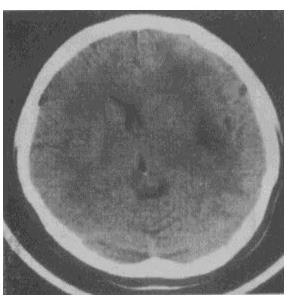
- 单项选择题 女性,48岁。渐进性右侧肢体活动不灵2个月,无发热。既往无任何病史。CT检查见图,应首先考虑以下哪种疾病()。
A、脑梗死
B、病毒性脑炎
C、星形细胞瘤
D、胆脂瘤
E、AVM
- C
关注下方微信公众号,在线模考后查看
热门试题
- 胃癌的好发部位依次是()。
- 关于大叶性肺炎,说法不正确的是()。
- AIDS患者最常见的肺部真菌感染病原体是:()
- 诊断肺隔离症最重要的依据包括()。
- 8岁小儿,患急性传染病后,又出现气急、发绀、咳嗽、鼻翼扇动等症
- 关于烟雾病,下列说法不正确的是()。
最新试题