试题详情
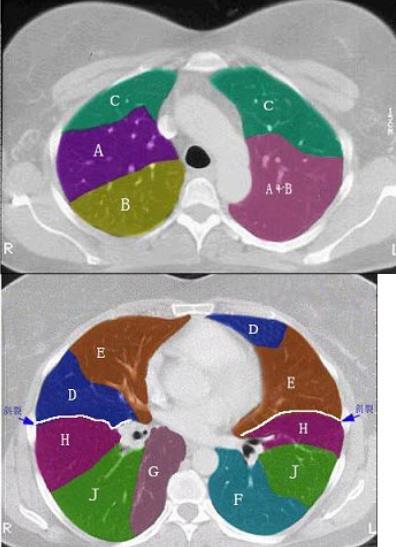
- 单项选择题 结合肺段模式图,选出右肺下叶的组成()。
A、F
B、F+G
C、F+G+H
D、F+G+H+I
E、F+G+H+I+J
- E
关注下方微信公众号,在线模考后查看
热门试题
- 诊断肺结核最可靠的依据是()。
- 下列关于多层螺旋CT的优点,描述错误的是:()
- 细菌性肝脓肿的主要感染途径不包括:()
- 以下哪项不是骨巨细胞瘤的CT征象:()
- 关于胸膜钙化,与下述哪项不相关:()
- 下面哪一种CT表现有利于脑内占位性病变的诊断:()
最新试题
A、F
B、F+G
C、F+G+H
D、F+G+H+I
E、F+G+H+I+J
关注下方微信公众号,在线模考后查看