试题详情
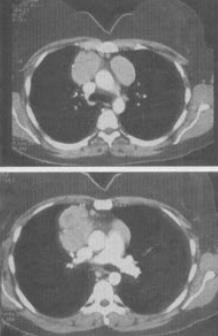
- 单项选择题 患者女,27岁,双侧颈部淋巴结肿大,PPD(-),结合CT图像,最可能的诊断是()。
A、心包囊肿
B、淋巴瘤
C、淋巴结核
D、转移性淋巴结肿大
E、结节病
- B
关注下方微信公众号,在线模考后查看
热门试题
- 下列哪项不是通过颈静脉孔的结构:()
- 小肠绒毛最多的部位是:()
- 儿童最常见的脊髓肿瘤发生于:()
- 有关腰椎椎管CT检查和测量,错误的是:()
- 多平面重组的处理技术属于:()
- 下列关于肺隔离症的病理及其分型哪项是不正确的?()
最新试题
A、心包囊肿
B、淋巴瘤
C、淋巴结核
D、转移性淋巴结肿大
E、结节病
关注下方微信公众号,在线模考后查看