试题详情
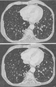
- 单项选择题 患者女,56岁,乳腺癌手术后,未行化疗,结合CT图像,最可能的诊断是()。
A、肺转移瘤
B、肺结核
C、间质性肺炎
D、肺结节病
E、肺曲菌病
- A
关注下方微信公众号,在线模考后查看
热门试题
- 关于胸部淋巴瘤,下列哪项是不正确的:()
- 青年患者,右肺下叶背段见一薄壁空洞,首先应该考虑()。
- 下列不符合胰腺癌CT征象的是:()
- 后纵隔最常见的肿瘤是()。
- 有关肝脂肪变性的描述,不正确的是:()
- 面神经分3段,水平部位于:()
最新试题
A、肺转移瘤
B、肺结核
C、间质性肺炎
D、肺结节病
E、肺曲菌病
关注下方微信公众号,在线模考后查看