试题详情
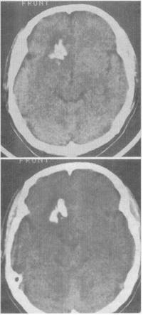
- 单项选择题 男性,28岁。阵发性四肢抽搐伴意识不清4次,每次持续数分钟,自行缓解。CT诊断(见图)最大可能是()。
A、脑囊虫并钙化
B、AVF
C、少枝胶质细胞瘤
D、室管膜瘤
E、脑实质内脑膜瘤
- C
关注下方微信公众号,在线模考后查看
热门试题
- 泌尿系肿瘤最主要的临床特点是()。
- 局限性阻塞性肺气肿最常见哪项病因?()
- 下述哪一种肿瘤容易发生腹膜腔种植性转移:()
- 婴儿肠套叠的病理类型中最常见的是:()
- 肝包虫病的CT表现正确的是()。
- 关于肝癌CT表现的描述,错误的是:()
最新试题