试题详情
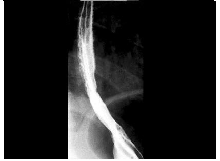
- 单项选择题男,34岁,胸骨后烧灼痛1周,伴吞咽痛,餐后平卧时加剧,食管钡餐检查如图,最可能的诊断是()


A、食管癌
B、贲门失弛缓症
C、返流性食管炎
D、食管静脉曲胀
E、正常食管表现
- C
关注下方微信公众号,在线模考后查看

热门试题
- 贲门失弛缓症较具特征的X线表现是( )
- 胃粘膜脱垂的X线表现有哪些()
- 男,38岁,口干,多饮多尿消瘦2月,结合
- 关于“Peutz-Jeghers综合征”
- 男,6月。出生1月后经常出现喷射状呕吐,
- 下列选项中哪项是结肠息肉最主要的临床表现
- 大肠全长约为()
- 哪项属于胰腺外分泌性肿瘤()
- 男,52岁,右下腹痛,贫血3月,钡灌肠检
- 关于十二指肠憩室的描述,正确的是()
- 男,80岁,脐周隐痛反复发作半年,加重1
- 肝脓肿的发病原因包括()
- 小肠排空延迟,指口服钡剂超过几小时未全部
- 正常食管壁厚度大约为()
- 女,30岁,喜欢吃柿子,近日出现腹痛,腹
- 下列属于胃溃疡直接征象的是()
- 结核性腹膜炎的X线表现有哪些()
- 男,46岁,腹部不适多年,结合图像,最可
- 先天性巨结肠行钡灌肠检查时,操作错误的是
- 龛影可见于哪些病变()