试题详情
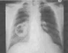
- 单项选择题 患者男,54岁,咳嗽,伴胸痛2周,午后有低热,胸片如图,最可能的诊断是()。
A、肺脓肿
B、结核空洞
C、韦格肉芽肿
D、肺癌
E、肺大疱
- D
关注下方微信公众号,在线模考后查看
热门试题
- 急性粟粒性肺结核出现典型粟粒结节后,肺纹理的表现是:()
- 神经元移行异常的CT平扫可表现为:()
- 当窗宽为250,窗位为50时,其CT值显示范围为:()
- 以下哪项不符合脑内型海绵状血管瘤的CT表现:()
- 骨肉瘤好发于:()
- Meckel腔内有哪种解剖结构:()
最新试题