试题详情
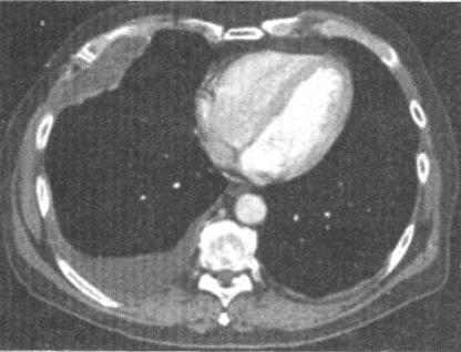
- 单项选择题 患者男,70岁,以前是管道安装工,有石棉接触史,也有很长的吸烟史,结合CT检查,最可能的诊断是()。
A、胸膜肥厚
B、胸膜间皮瘤
C、石棉肺
D、神经鞘瘤
E、淋巴瘤
- B
关注下方微信公众号,在线模考后查看
热门试题
- 以下部位中,哪项是胆脂瘤的好发部位:()
- 以下哪一项CT表现不支持子宫肌瘤的诊断:()
- 关于腰椎间盘突出的CT表现中,不正确的是:()
- 关于胸部淋巴瘤,下列哪项是不正确的:()
- 下述早期易引起管腔狭窄的小肠疾病是:()
- 下列哪一项不是CT检查中减少伪影的方法:()
最新试题