试题详情
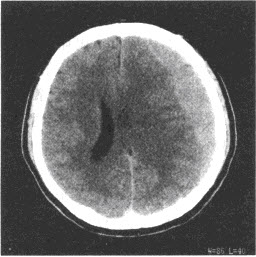
- 单项选择题患者,男,24岁,头部被球击中,1周后出现持续性头痛、头晕,结合CT图像,最可能的诊断是()

A、硬膜外血肿
B、脑挫裂伤
C、急性硬膜下血肿
D、亚急性硬膜下血肿
E、慢性硬膜下血肿
- D
关注下方微信公众号,在线模考后查看

热门试题
- 颅内最常见的恶性肿瘤为()
- 怀疑眼眶内异物首选检查方法是()
- 关于海绵状血管瘤和脑膜瘤的鉴别点,下列说
- 内耳道狭窄是指宽度小于()
- 腺样体增生CT表现错误的是()
- 下列关于脑梗死的描述哪一项不正确()
- 结节性硬化的脑部病理特征,错误的是()
- 关于喉癌错误的是()
- 脑脓肿壁短T2低信号最可能是( )
- 脊髓受压移位,患侧蛛网膜下腔增宽()
- 患者,女,25岁,临床主要症状为癫痫,头
- 患者,男,27岁,头痛,高热3天。CT示
- 灰质异位最佳的检查方法是()
- 患者,男,43岁,头痛、左侧面麻半年。C
- 对于“涎腺肿瘤”临床特点的描述,下列说法
- 下列哪项不是脱髓鞘疾病的常见病理改变()
- 松果体区常见的肿瘤是()
- 患儿,男,5岁,反复呛咳,张口呼吸,有鼾
- 患者,女,50岁,因渐进性上肢活动障碍伴
- 发生在桥小脑角区肿瘤中无强化的是()