试题详情
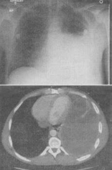
- 单项选择题 患者,男,48岁,呼吸困难、胸痛,结合CT图像,最可能的诊断是()。
A、支气管胸膜瘘
B、肺结核
C、吸入性肺炎
D、肺囊虫病
E、肺脓肿
- A
关注下方微信公众号,在线模考后查看
热门试题
- 下列哪一项不是肝包虫囊肿的特征表现:()
- 凡具备下述哪一项者属于肺结核的好转期:()
- 肝脏平扫呈高密度的区域常见于:()
- CT矩阵与像素大小的关系是:()
- 跟骨骨折最常见的类型是:()
- 以下哪一项直肠癌的CT表现提示失去手术机会:()
最新试题
A、支气管胸膜瘘
B、肺结核
C、吸入性肺炎
D、肺囊虫病
E、肺脓肿
关注下方微信公众号,在线模考后查看