试题详情
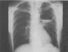
- 单项选择题 患者男,26岁,胸闷、胸痛3个月余,胸片如图,最可能的诊断为()。
A、左上肺空洞型结核
B、左上肺脓肿
C、左上肺液气囊肿
D、左上肺包虫病
E、韦格肉芽肿
- C
关注下方微信公众号,在线模考后查看
热门试题
- 在肺内最可能产生单侧癌性淋巴管炎的疾病是:()
- 关于儿童骨与关节结核特点的描述,不正确的是:()
- 关于肺气肿X线平片表现,说法不正确的是()。
- 下列先天性心脏病的肺血减少的是()。
- 男,30岁。反复发作哮喘,持续性发热3年。断层胸片示近端支气管囊
- 患者男性,18岁,疲乏,贫血貌,CT示脾前缘近切迹处多发小片状低
最新试题