试题详情
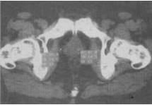
- 单项选择题 患者,男,63岁,排尿困难1个月余,加重伴血尿10天。PSA为43ng/mL。CT表现见图,最有可能是哪种疾病()。
A、前列腺炎
B、前列腺增生
C、前列腺癌
D、前列腺脓肿
E、前列腺囊肿
- A
关注下方微信公众号,在线模考后查看
热门试题
- 胃良性溃疡较多发生于下列哪个部位?()
- 有关最椎间盘变性的叙述,错误的是()。
- 属于脑外病变CT征象的是:()
- 肝硬化再生结节T加权像表现低信号,因()。
- 右上叶肺不张可出现下列哪项征象()。
- 关于肠结核不正确的是()。
最新试题