试题详情
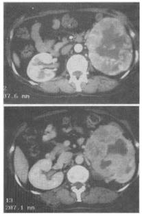
- 单项选择题 患者,女,58岁。左腰部不适,血尿2个月余。CT检查见图。最有可能的诊断是()。
A、肾癌
B、肾盂癌
C、肾错构瘤
D、肾囊肿
E、肾脓肿
- A
关注下方微信公众号,在线模考后查看
热门试题
- 下述关于“卵巢巧克力囊肿”的说法错误的是()。
- 患者女,40岁,发现颈部肿块,随吞咽上下移动,触之无搏动,咳嗽
- 患者,男,30岁,CT示双侧听神经鞘瘤,右侧脑室三角区脑膜瘤。可
- 有关椎间盘变性的叙述,不正确的是()。
- 发生在球部的溃疡约占十二指肠溃疡的比例是()。
- 肝包虫病的特征性CT表现是:()
最新试题