试题详情
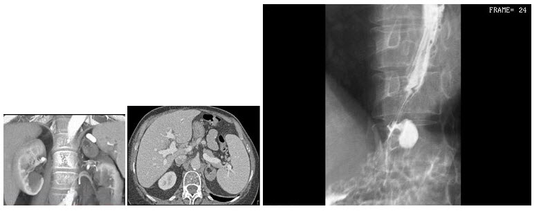
- 单项选择题女,68岁,发现高血压病30年,有痔疮史。04年12月6日大便潜血(+++),结合图像,最可能的诊断为()

A、食管癌
B、食管下段憩室
C、食管裂孔疝
D、食管溃疡
E、返流性食管炎
- B
关注下方微信公众号,在线模考后查看

热门试题
- 女,48岁,常感中上腹不适,无返酸、嗳气
- 胃复合溃疡是指()
- 下述胰头癌十二指肠曲的X线征象中,错误的
- 食管静脉曲张累及下列哪些静脉()
- 中、晚期食管癌分型中同时向腔内外侵犯的病
- 引起回盲瓣肥厚的最常见原因是()
- 下列关于食管的描述,哪些是正确的()
- 空、回肠肿瘤的X线表现有()
- 胃癌的好发部位依次是()
- 食管裂孔疝有下列类型,不正确的是( )
- 早期食管癌根据大体病理形态分为()
- 下列“影像征象-相应诊断”关系,错误的是
- 引起“小肠梗阻”病因有()
- 进展期胃癌引起胃窦狭窄、壁僵硬、粘膜皱襞
- “消化道恶性肿瘤”,钡餐检查不能显示的是
- 肠套叠钡灌肠的典型X线表现有哪些()
- “充盈缺损”不是下述哪种疾病的影像特征(
- 下列哪项不是胃息肉的X线表现()
- 下列良性溃疡X线征象中,不正确的是()
- 龛影可见于哪些病变()