试题详情
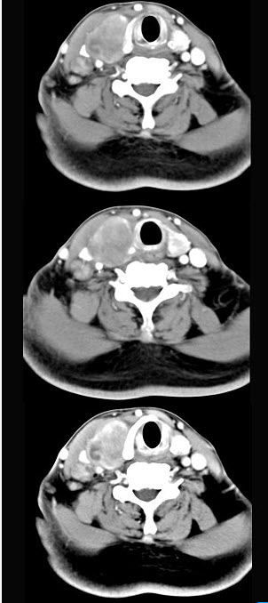
- 多项选择题女性,54岁,右侧颈部肿大近1年,近来病人有声嘶、吞咽困难,CT扫描如图,请选择正确的描述和答案()。

A、右侧甲状腺肿大,密度减低
B、增强扫描示甲状腺呈不规则强化团块影,其内有低密度区,病灶境界不清
C、右侧颈内静脉增粗,其内可见不规则充盈缺损区
D、考虑甲状腺癌
E、右侧颈内静脉瘤栓形成
- A,B,C,D,E
关注下方微信公众号,在线模考后查看

热门试题
- 男,16岁,咽异物感6年,无咽部出血及吞
- 对颈深淋巴结下群的描述,正确的是()。
- 甲状舌管瘘管内瘘口位于()。
- 女性,40岁,下颌颏部隆起,X线检查如图
- 支持颈部良性肿块的是()。
- 下列哪项不是颌内动脉的分支()。
- 鳃裂囊肿()。
- 女性,54岁,右侧颈部肿大近1年,近来病
- 第2鳃裂囊肿及瘘管囊肿多位于()。
- 颈部肿块的细针穿刺结果是阴性时,说明该肿
- 真性颈动脉瘤()。
- 对颈深淋巴结上群的描述,正确的是()。
- 诊断囊状水瘤较为简便有效的方法为()。
- 起源于迷走神经的神经鞘膜瘤多在()。
- 颈部血管、后组脑神经位于()。
- 甲状舌管瘘管常穿过()。
- 对颈深淋巴结的描述,正确的是()。
- 甲状舌管囊肿及瘘手术的治疗原则是()。
- 患者,男性,19岁,因颈部肿块2年余入院
- 喉返神经支配()。