试题详情
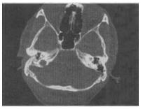
- 单项选择题 男,23岁,右耳流脓十余年,右外耳道流脓,鼓膜穿孔,CT检查如图,最可能的诊断是()。
A、慢性中耳乳突炎
B、中耳乳突结核
C、中耳癌
D、嗜酸性肉芽肿
E、(海绵化期)耳硬化症
- A
关注下方微信公众号,在线模考后查看
热门试题
- 下述对慢性胃炎黏膜糜烂错误的描述是:()
- 下列哪项不支持鼓室血管球瘤()。
- 增生型肠结核最常见的并发症是()。
- 关于椎间孔的叙述下列正确的是()。
- 以下关于造釉细胞瘤的说法,不正确的是哪一项:()
- 肺内淋巴转移常表现为肺外带网络状影,多发生于:()
最新试题