试题详情
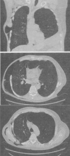
- 单项选择题 患者男,68岁,胸闷,气逼1年余,加重1周,右胸有手术史,结合CT图像,最可能的诊断是()。
A、右侧气胸并皮下气肿、左侧肺气肿
B、右侧气胸并皮下气肿、左侧肺不张
C、双侧肺气肿
D、右侧气胸并皮下气肿
E、右侧肺间质病变、左侧肺气肿
- A
关注下方微信公众号,在线模考后查看
热门试题
- 患者男,18岁,无明显症状,体检行CT检查如图,最可能的诊断为(
- 某男,45岁,体检发现左肺下叶有一小块阴影,直径约2.0cm,密度不
- 脑神经元移行异常不包括下列哪项:()
- 下列不是肺充血的X线征象的是()。
- 下列哪一项是脂肪组织的CT值:()
- 哪一项是诊断肺隔离症的最有特征性的影像学表现:()
最新试题