试题详情
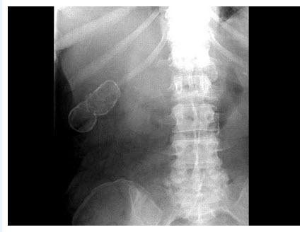
- 单项选择题女,39岁,右上腹部隐痛,有慢性胆囊炎史,曾经做过口服胆囊造影,胆囊显影差,X线检查如图,最可能的诊断是()

A、急性胆囊炎
B、慢性胆囊炎
C、胆囊结石
D、瓷样胆囊
E、胆囊结核
- D
关注下方微信公众号,在线模考后查看

热门试题
- 肩胛征常见于()
- 食管静脉曲张与食管癌的主要鉴别点是()
- 器官轴型胃扭转的X线表现为()
- 早期胃癌浅表型(Ⅱ型)的X线表现为()
- 第三蠕动波见于()
- 引起回盲瓣肥厚的最常见原因是()
- 肠套叠分型不包括()
- 小肠绞窄性肠梗阻X线表现是()
- 关于“小肠Crohn病”影像的描述,错误
- 女,4岁,大便潜血(++),结合图像,最
- 患者,男,1岁。顽固性便秘数月,腹胀,无
- 胃穿透性溃疡系指溃疡侵及()
- 男,40岁,黑便1周,半年来呕血两次。查
- 下列有关胰腺的描述,错误的是()
- 下列哪种疾病,有“龛影”表现()
- 在十二指肠球部溃疡约占十二指肠溃疡的百分
- 下列诊断小肠Crohn(克罗恩)病较为特
- 正常食管壁厚度大约为()
- 食管的第三个生理压迹局限性增深时提示()
- 女,48岁,中上腹不适,结合图像,最可能