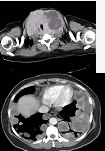
试题详情单项选择题青年女性,咽异物感1年,环状软骨左下方触及一直径2厘米的光滑结节,随吞咽上下活动,生长缓慢,颈部CT检查见下图,患者诊断最可能为()。 A、颈部淋巴瘤B、淋巴结转移癌C、甲状腺腺廇D、甲状舌骨囊肿E、颈淋巴结核正确答案:C答案解析:关注下方微信公众号,在线模考后查看热门试题开放性气管损伤的治疗措施包括()。对咽、食管闭合性损伤的治疗,正确的是()男性,40岁,颈部出现无痛性囊性包块2年颈部淋巴结结核多发生于()。开放性气管损伤所特有的临床表现是()。有助于颈淋巴结结核诊断的有()。颈外动脉的体表投影()。最有可能引起声嘶的疾病有()。颈部血管瘤的治疗不包括()。甲状舌管囊肿及瘘手术的治疗原则是()。颈动脉创伤性栓塞可出现()。颈部蜂窝织炎临床症状有()。颈部疼痛的原因一般不包括()。环磷酰胺()。颈浅部炎症不包括()。Ⅲ区()。胸导管()。某患者,左侧颈部胸锁乳突肌前缘及舌骨水平颈深上淋巴结在头颈肿瘤的诊断和治疗中具有颈部淋巴干()。