试题详情
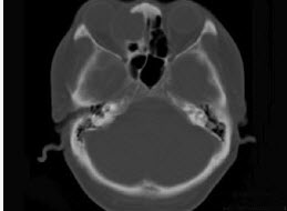
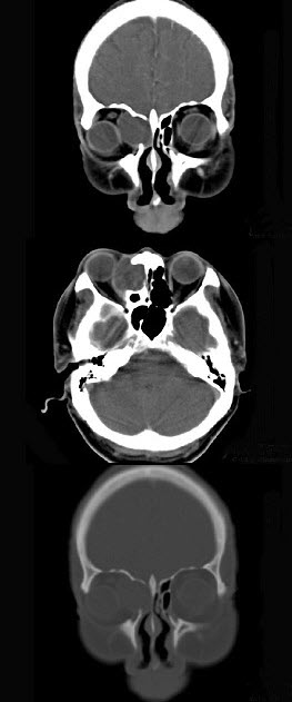
- 多项选择题女性38岁,右侧眼球运动障碍伴眼球突出4个多月,CT扫描如图,请选择正确的描述和答案()。

A、右侧筛窦内可见囊性肿块影,边缘光整
B、囊性肿块向右侧眼眶内突入,压迫内直肌
C、右侧眶内壁呈受压变薄、断裂
D、考虑为右侧筛窦黏液囊肿
E、考虑为筛窦癌
- A,B,C,D
关注下方微信公众号,在线模考后查看

热门试题
- 鼻部脑膜脑膨出患者的膨出部破溃感染时应采
- 男,34岁,头痛、头晕3个月余,CT检查
- 嗅区的黏膜上皮为()。
- 婴幼儿上颌骨骨髓炎最多见于()。
- 前组鼻旁窦炎波及部分后组筛窦伴多发息肉属
- 关于鼻出血,哪种说法有误()。
- 上颌窦穿刺的最佳进针位置是()。
- 一男性,35岁,右鼻流脓,右上第二双尖牙
- 应考虑是鼻真菌病的情况是()。
- 鼻窦中成熟最早的是()。
- 鼻真菌病按临床特征可分为4种类型:()、
- 年轻女性月经期经常鼻出血,其原因是()。
- 较小的鼻中隔血肿应采取的治疗是()。
- 鼻疖未成熟者()。
- 筛后动脉的供应区包括()。
- 鼻疖合并海绵窦感染者()。
- 鼻中隔穿孔最常见的部位在()。
- 变态反应型曲霉菌病的最终诊断依据是()。
- 筛窦炎引起眶壁骨膜下脓肿导致眼球移位是(
- 行置换疗法时,当患者发"开"音的一刹那(