试题详情
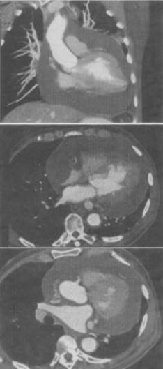
- 单项选择题 患者男,28岁,胸闷气急,伴干咳,查体见劲静脉显露,CT如图,最可能的诊断为()。
A、心包肥厚
B、心包积液
C、心肌炎
D、贫血性心脏病
E、心包转移瘤
- B
关注下方微信公众号,在线模考后查看
热门试题
- 下列哪一项不是胆囊癌的CT表现:()
- 豆状核由内到外依次为:()
- 中年男性患者,诊断为肝硬化、结节型肝癌,发现右大腿局限性肿胀4
- 先天性膈疝在以下各项中,哪种最常见:()
- 肝脏进床式动态增强扫描,下列哪一项不正确:()
- 视网膜母细胞瘤最具特征的CT表现是:()
最新试题