试题详情
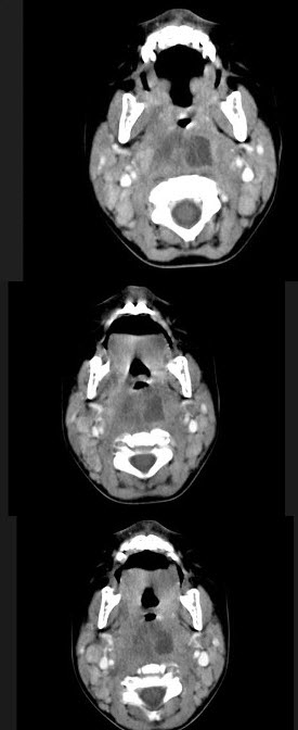
- 多项选择题10个月大的婴儿,发热,曾患中耳炎,CT扫描如图所示,请选择正确的描述或诊断()。

A、咽后壁软组织肿胀
B、其内密度不均
C、颈椎骨质未见明显异常
D、考虑为咽后壁脓肿
E、考虑为咽后壁寒性脓肿
- A,B,C,D
关注下方微信公众号,在线模考后查看

热门试题
- 鼻咽癌引起头痛的原因可以是()。
- 咽旁隙前隙内通过的重要结构有()。
- 鼻咽部描述错误的是()。
- "喉咽癌出现的早期症状有()。
- 咽后隙与咽旁隙之间相隔的结构是()。
- 有关扁桃体血供动脉不包括()。
- 某某,男,21岁,因反复鼻腔大出血来就诊
- 多因咽后隙淋巴结结核或颈椎结核形成的寒性
- 急性扁桃体炎的主要致病菌是()。
- 急性扁桃体炎的主要致病菌是肺炎球菌。()
- 软腭及咽缩肌麻痹可引起()。
- 急性脓毒性咽炎可引起的并发症包括()。
- 咽部的血液供应来自于()。
- 临床诊断为鼻咽纤维血管瘤病人应进一步做病
- 行纤维鼻咽镜检查时,如为腺样体肥大则可见
- 阻塞性睡眠呼吸暂停综合征患者的呼吸暂停指
- 急性卡他性扁桃体炎可见()。
- 对扁桃体周脓肿的描述不对的是()。
- 患儿,男,3岁,咽痛、发热2d,检查见双
- 能引起咽部异常感觉的器质性病变有()。