试题详情
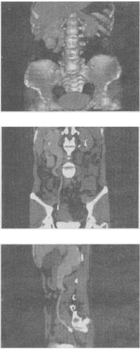
- 单项选择题 女,42岁,反复右下腹痛1个月,CT检查如图所示,下列诊断正确的是()。
A、右侧输尿管上段结石,其上方输尿管扩张积水
B、右侧输尿管中段结石,其上方输尿管扩张积水
C、右侧输尿管下段结石,其上方输尿管扩张积水
D、右侧输尿管下段结核,其上方输尿管扩张积水
E、右侧输尿管下段炎性狭窄,其上方输尿管扩张积水
- C
关注下方微信公众号,在线模考后查看
热门试题
- 不符合支气管扩张症诊断的CT表现是哪一项:()
- 患者男,42岁,胸痛1周余,X线片发现肺部阴影,CT检查如图,最可
- 下列描述中,哪一项不属于软组织血管瘤的CT典型表现:()
- 牙源性上颌窦炎的典型特征是:()
- 胃肠钡餐造影及内窥镜检查较CT对胃癌术后复查的优势在于:()
- 牛眼征"是下列哪种病变的典型CT征象:()
最新试题