试题详情
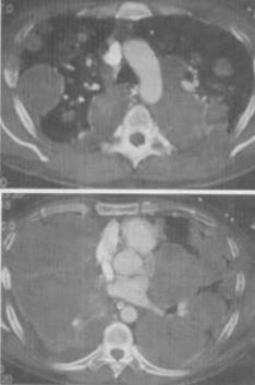
- 单项选择题 男,33岁,咳嗽1周,有骨肉瘤病史,结合CT,最可能的诊断是()。
A、肺梗死
B、粟粒型肺结核
C、肺骨肉瘤转移
D、结节病
E、错构瘤
- C
关注下方微信公众号,在线模考后查看
热门试题
- 患者,男,30岁,CT示双侧听神经鞘瘤,右侧脑室三角区脑膜瘤。可
- 后颅窝占位病变引起:()
- CT平扫心室水平见降主动脉右侧脊柱前软组织块影,内含气体,口服
- 关于急性硬膜外血肿的CT检查,下列说法中不正确的是:()
- 左向右分流型先天性心脏病出现的肺部血管改变是()。
- 在CT轴位图像上,正常双侧内囊对称呈:()
最新试题