试题详情
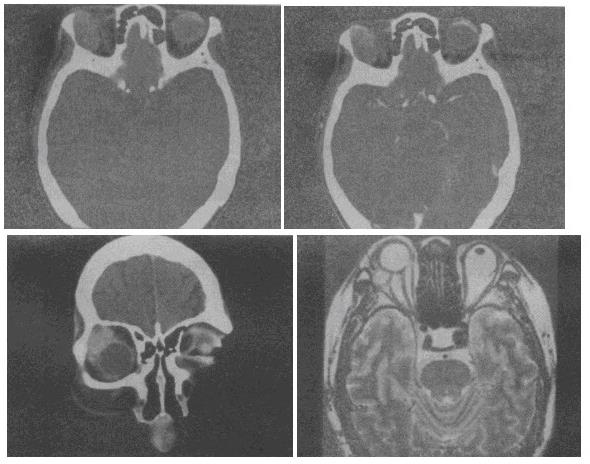
- 单项选择题 男,41岁,右侧眼眶外上方肿胀,可触及无痛性包块,CT及MRI检查如图,最可能的诊断是()。
A、眶内血管瘤
B、眶内结核
C、眶内炎性假瘤
D、泪腺混合瘤
E、眶内囊肿
- D
关注下方微信公众号,在线模考后查看
热门试题
- 颅脑CT没有病理意义的钙化包括:()
- 不属于鼻道窦口复合体变异的是哪一项:()
- 尾状核头部占位病变会引起侧脑室:()
- 下列哪一种疾病,一般不出现小叶间隔线()。
- 患者男,47岁,腹泻、体重下降,伴有重症肌无力,结合胸片和CT,
- 不具有换气功能的解剖结构是:()
最新试题