试题详情
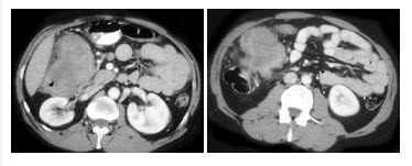
- 单项选择题男,42岁,左下腹可触及一长条形肿块,结合图像,最可能的诊断是()

A、结肠间质瘤
B、结肠转移癌
C、结肠淋巴瘤
D、假膜性肠炎
E、结肠癌
- C
关注下方微信公众号,在线模考后查看

热门试题
- 男,43岁,左下腹痛不适1月余,结合图像
- 结合图像,最可能的诊断为()
- 正常小肠能产生逆蠕动的部位在()
- 男,57岁,肥胖、糖尿病、血脂升高,CT
- 胆总管扩张分五型,最常见的是()
- 下述哪项不是真菌性肝脓肿的诱发因素()
- 男,56岁,下腹疼痛、大便潜血阳性,结合
- 男,33岁,腹部外伤后2月余,腹部疼痛,
- 关于Ⅲ型肝包虫病CT扫描的影像特点是()
- 男,72岁,右上腹痛1月,AFP阴性,无
- 关于肝门部结构,下列哪项描述是错误的()
- 根据所提供的图像,该病灶最好的分期为()
- 男,32岁,肥胖,CT检查如图所示,最可
- 下列哪项不符合弥漫性脂肪肝中残留正常肝岛
- 关于胆管结石的CT表现,下列哪项是错误的
- 关于胆管系统功能紊乱,下列叙述哪项是错误
- 下述胰腺囊腺瘤特点,哪些是正确的()
- 不符合弥漫性脂肪肝中残留正常肝岛的CT表
- 按胆结石的化学成分划分,胆囊结石分为哪三
- 有关肝硬化的CT表现,正确的是()