试题详情
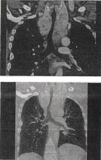
- 单项选择题 患者男,67岁,呼吸困难半年余,结合影像学检查,最可能的诊断是()。
A、胸骨后甲状腺肿
B、淋巴瘤
C、间皮囊肿
D、纵隔畸胎瘤
E、胸腺瘤
- A
关注下方微信公众号,在线模考后查看
热门试题
- 哪项是纵隔淋巴瘤的好发部位()。
- 以下哪一个不属于膀胱原发肿瘤:()
- 以下哪一异常是鼻道窦口复合体的解剖异常:()
- 后前位胸片示纵隔向患侧移位,最有可能的原因为:()
- 以间质改变为主的肺炎是:()
- 脑室内囊虫多位于:()
最新试题
A、胸骨后甲状腺肿
B、淋巴瘤
C、间皮囊肿
D、纵隔畸胎瘤
E、胸腺瘤
关注下方微信公众号,在线模考后查看