试题详情
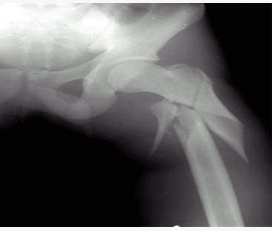
- 单项选择题病史:男性,35岁,外伤30分钟。诊断:()
A、右胫骨骨折
B、左髋关节脱位
C、左股骨骨折
D、右腓骨骨折
E、右胫骨骨折
- C
关注下方微信公众号,在线模考后查看
热门试题
- 小儿脑瘫主要表现为中枢性运动障碍及姿势异
- 室性期前收缩()
- 男,30岁,头昏,乏力2年,血压21.3
- 为了病伤者的需要,应有的医疗机构包括()
- 1990年,WHO提出了四维健康概念包括
- 红外线波段()
- 慢性风湿性关节炎可选择()
- 脑性瘫痪的诊断主要依靠()
- 下列有关腰椎间盘突出症的说法正确的是()
- 下肢矫形器不包括()
- 关于类风湿性关节炎的叙述,正确的是()
- 脊髓后角病变,其中不符合的是()
- 颈内动脉主干闭塞可致以下反应,除外()
- 骨性关节炎引起疼痛的原因不包括()
- 临床最多见的颈椎病类型是()
- 男患,43岁,因单侧面颊部发作性针刺样疼
- 运动处方中应明确写出应做的____、训练
- 简述压疮手术治疗的指征。
- 常见神经系统病损有()
- 某男,原体重70kg,失水后烦躁,心率加