试题详情
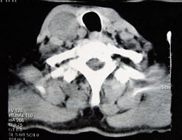
- 多项选择题男性,70岁,右侧颈部无痛性肿块3个月,CT扫描如图所示,请选择正确的描述和答案()。

A、右颈动脉间隙内见类圆形软组织肿块影,密度欠均匀,边缘光整
B、右侧颈静脉被推压至肿块外后方
C、右侧颈动脉被推压至肿块内后方
D、考虑迷走神经源性肿瘤
E、考虑交感神经源性肿瘤
- A,C,D
关注下方微信公众号,在线模考后查看

热门试题
- 喉上神经外支支配()。
- 患者,女性,32岁,因发现颈部肿块一个月
- 下面是一颈部CT图,其中结构标志不正确的
- 患者,女性,32岁,因发现颈部肿块一个月
- 下列哪些属于囊性水瘤临床表现()。
- 下列哪项不是颌内动脉的分支()。
- 包绕颌下腺、腮腺的颈筋膜为()。
- 包绕颈阔肌的颈部筋膜为()。
- 下列哪项不是颅内先天性肿瘤()。
- 真性颈动脉瘤()。
- 颈动脉创伤性栓塞的治疗措施包括()。
- 对颈部解剖的描述,错误的是()。
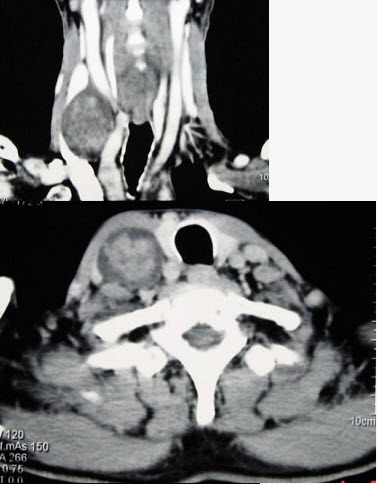
- 女,56岁,发现颈部肿块一月余,CT如图
- 患者,女性,32岁,因发现颈部肿块一个月
- 颈部蜂窝织炎致病细菌主要为()。
- 颈动脉体瘤()。
- 根治性颈清扫术中颈内静脉下端结扎的部位是
- 女,64岁,发现双甲状腺肿大一月余,CT
- 男,46岁,外伤后左下颈搏动性肿块,CT
- 52岁女性患者,左颈部无痛性包块渐进性增