试题详情
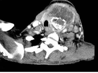
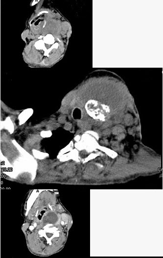
- 单项选择题女,64岁,发现双甲状腺肿大一月余,CT如图所示,最可能诊断为()。

A、结节性甲状腺肿
B、甲状腺腺瘤
C、甲状腺癌并淋巴结转移
D、甲状腺转移癌
E、甲状腺结核
- C
关注下方微信公众号,在线模考后查看

热门试题
- 治疗颈部开放性损伤的方法包括()。
- 舌骨上肌群包括()。
- 50岁女性患者,体检发现右侧甲状腺有较硬
- 在诊断甲状腺疾病方面有独特意义的是()。
- 50岁女性,颈部无痛性肿块,逐渐增大,听
- 颈动.静脉瘘的临床表现有()。
- 颈深部组织炎症包括()。
- 颈清扫术应该遵循下列哪些原则()。
- 下列哪一三角属颈后三角区()。
- 女,39岁,左颈部可扪及一肿块,无发热,
- 不易发生颈淋巴结转移的肿瘤是()。
- 颈部疼痛的病因有()。
- 后天性颈动-静脉瘘的特征症状是()。
- 女性50岁,消瘦、多饮多食,脖子粗大,双
- 蜂窝织炎后期(脓肿已形成)应行()。
- 咽丛位于()。
- 能够区别气管闭合性损伤与咽、食管闭合性损
- 扁桃体恶性肿瘤常见的转移部位有()。
- 下列哪项不是颅内先天性肿瘤()。
- 颈淋巴结结核多发人群是()。