试题详情
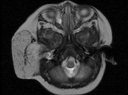
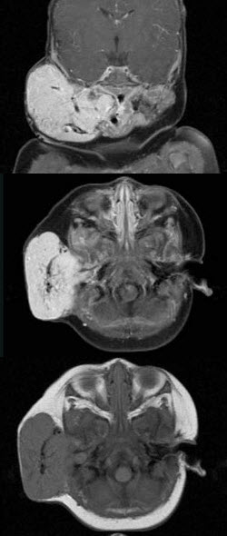
- 单项选择题老年患者,右侧面部肿胀,呈青紫色,MRI检查如图所示,请选择最可能的诊断()。

A、血管瘤
B、囊肿
C、脓肿
D、神经纤维瘤
E、神经鞘瘤
- A
关注下方微信公众号,在线模考后查看

热门试题
- 16岁女性患者,右侧面颊部肿胀,CT扫描
- 腮腺隙内包括下列哪些结构()。
- 颈动脉瘤的治疗包括()。
- 根据美国耳鼻咽喉头颈外科1991年制定和
- 夹层颈动脉瘤()。
- 某患者,左侧颈部胸锁乳突肌前缘及舌骨水平
- 颈部开放性损伤可出现的症状包括()。
- 声门旁间隙的前外界()。
- 颈动脉三角区圆形肿块,质硬,边界清。可以
- 声门上区的淋巴结多数引流到()。
- 右侧胸腔器官的恶性肿瘤易转移到()。
- Ⅴ区()。
- 如图,下面解剖标志正确的是()。
- 第二鳃弓或第二鳃沟闭合不全引起()。
- 咽后隙形成的脓肿其脓液可波及()。
- 扁桃体恶性肿瘤常见的转移部位有()。
- 对颈部细胞学及病理学检查的描述,正确的是
- 下列不属于鳃裂囊肿及瘘管临床表现的是()
- 下列属颈内静脉的属支有()。
- 真性颈动脉瘤()。