试题详情
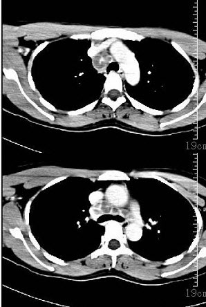
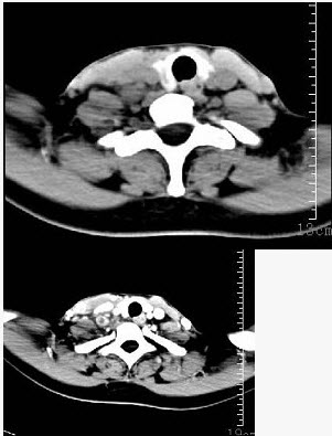
- 单项选择题女性35岁,发热、盗汗近3个月,颈部摸到多个结节,CT扫描如图所示,请选择最可能的诊断()。

A、神经鞘瘤
B、结节病
C、淋巴转移癌
D、淋巴结核
E、淋巴瘤
- D
关注下方微信公众号,在线模考后查看

热门试题
- 不支持颈动脉瘤诊断的选项有()。
- 根治性颈清扫术中颈内静脉下端结扎的部位是
- 假性动脉瘤多由下列哪种因素引起()。
- 男,60岁,因吞咽疼痛伴咽异物感一个月就
- 37岁女性,左侧颈部肿块渐进性增大,无压
- 颈动脉瘤的治疗包括()。
- 颈部蜂窝织炎常由下列哪些细菌引起()。
- 16岁女性患者,右侧面颊部肿胀,CT扫描
- 声门上型喉癌的早期临床表现常为()。
- 颈动脉鞘内有()。
- 囊状水瘤多发于()。
- 女,50岁,左下颈部扪及一质硬、表面高低
- 囊性水瘤是起源于()。
- 颈深淋巴结上、下群的分界是()。
- 颈部良性肿瘤发病率最高的是()。
- 急性淋巴结炎应行()。
- 女性,48岁,颈部包块3年,近来胸闷、憋
- 颈部血管、后组脑神经位于()。
- 甲状舌管囊肿的B超声像图特征是()。
- 颈动脉瘤的分类包括()。