试题详情
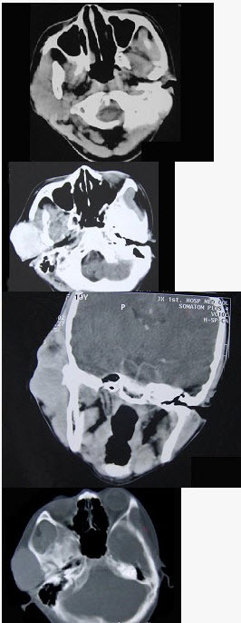
- 单项选择题19岁,女性患者,右侧面颊部肿胀一年,CT检查如图所示,请选择最佳答案()。

A、右颊部神经纤维瘤
B、右颊部血管瘤
C、右颊部脂肪瘤
D、右颊部横纹肌肉瘤
E、右颊部血肿
- B
关注下方微信公众号,在线模考后查看

热门试题
- 手术切除适用于颈淋巴结结核的情况是()。
- 左侧胸腔器官的恶性肿瘤易转移到()。
- 下列哪块肌肉将颈部分为前外侧部和后部()
- 如图,下面解剖标志正确的是()。
- 不支持颈动脉瘤诊断的选项有()。
- 男,43岁,右颈部扪及一包块,CT如图所
- 由颈动脉硬化所引起的颈动脉瘤,多发生于(
- 颈部血管开放性创伤可出现()。
- 女,50岁,左下颈部扪及一质硬、表面高低
- 舌骨上肌群不包括()。
- 16岁女性患者,右侧面颊部肿胀,CT扫描
- 下列哪种检查可以明确颈动-静脉瘘瘘口的部
- 喉上神经外支支配()。
- 男性,40岁,发现左侧颈部小包块,CT、
- 根治性颈清扫术中颈内静脉下端结扎的部位是
- 可能为甲状舌管囊肿的是()。
- 颈内动脉的体表投影()。
- 下列易致皮下或纵隔气肿的疾病有()。
- 关于血管瘤,下列叙述何者正确()。
- 所有的分区性颈清扫均常规保留下面那些结构