试题详情
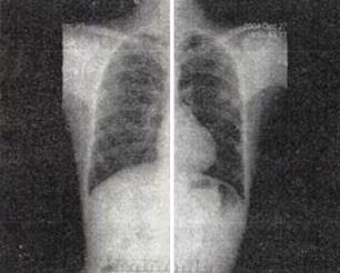
- 单项选择题 男,6岁,口唇青紫,喜蹲踞。结合X线(见图)检查,最可能的诊断是()。
A、室间隔缺损
B、房间隔缺损
C、肺动脉狭窄
D、法洛四联症
E、动脉导管未闭
- D
关注下方微信公众号,在线模考后查看
热门试题
- CT检查肝脏中心纤维瘢痕表现为辐条样自中心向外辐射,见于:()
- ①肺动脉;②支气管动脉;③肺淋巴管;④肺静脉;⑤支气管静脉,
- 关于肺转移瘤,下列观点错误的是()。
- 怀疑癌性淋巴管炎患者,CT检查应采用的扫描方法为:()
- 腰椎椎管前后径CT测量值的正常范围是:()
- 下列关于听神经瘤与三叉神经鞘瘤的CT鉴别诊断,错误的是哪一项:
最新试题