试题详情
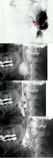
- 单项选择题 女,50岁,颈部无痛性肿块,逐渐增大,听诊可闻及杂音,DSA检查如图所示,最可能诊断( )
A、颈动脉体瘤
B、假性动脉瘤
C、颈动脉夹层
D、颈动脉硬化
E、动静脉瘘
- A
关注下方微信公众号,在线模考后查看
热门试题
- 牙瘤病理上可分为三型,即________
- 下列属于颈椎病X线表现的有( )
- 眼眶异物按异物种类可分为________
- 鼻真菌病常见致病菌有__________
- 齿状突顶端超过腭枕线多少,可诊断为颅底凹
- 眶距过窄,常见于下列哪些疾病( )
- 慢性化脓性鼻窦炎主要病理改变可分为___
- "外耳、中耳明显畸形伴颌面骨发育不良"被
- 下颌关节间隙正常值为( )
- 上颌窦癌最常见为破坏内侧壁并伴鼻腔外侧壁
- "眼窝变小"见于下列哪种情况( )
- 慢性化脓性中耳乳突炎肉芽肿型,骨质破坏部
- 单侧眼球突出的X线检查意义如何?
- 造釉细胞瘤主要来源于残余的牙板和造釉器。
- 直径为多少的眶内铁质异物平片可显示( )
- 中耳继发性胆脂瘤的并发症为( )
- 以下鼻窦开口正确的为( )
- 如何判断颞颌关节脱位?
- 颈动脉体瘤
- 泪滴征