试题详情
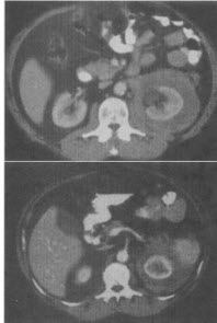
- 单项选择题 男,65岁,全身浅表淋巴结肿大,根据所示图像,最可能的诊断是()。
A、左侧肾癌
B、左肾转移癌
C、淋巴瘤左肾周浸润
D、左肾外伤出血
E、尿外渗
- C
关注下方微信公众号,在线模考后查看
热门试题
- 浸润性生长的星形细胞瘤的CT表现是:()
- 患者男,28岁,咯血伴盗汗1个月,CT如图,最可能的诊断为()。
- 一侧侧脑室前角扩张,其阻塞部位在:()
- CT在膀胱癌诊断上的主要作用是:()
- 下列有关副脾的不正确说法是()。
- 影像检查中,B超示左肾有2.5cm无回声暗区,边缘锐利,后方回声增
最新试题