试题详情
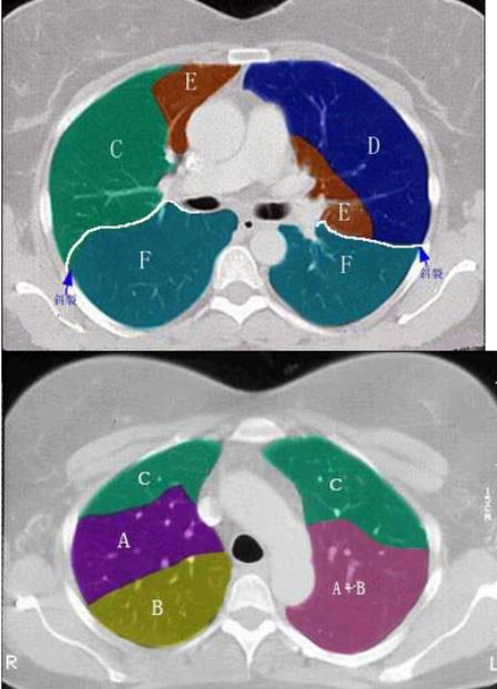
- 单项选择题 结合肺段模式图,选出右肺上叶的组成()。
A、A
B、A+B
C、A+B+C
D、A+B+C+D
E、A+B+C+D+E
- C
关注下方微信公众号,在线模考后查看
热门试题
- 脊柱动脉瘤样骨囊肿好发于()。
- 视觉皮质位于:()
- 某男,45岁,体检发现左肺下叶有一小块阴影,直径约2.0cm,密度不
- 男,66岁,胸痛1个月,胸部CT如图,最可能的诊断是()。
- 痛风与类风湿关节炎的鉴别要点是:()
- 颈椎病发病率最高的是:()
最新试题
A、A
B、A+B
C、A+B+C
D、A+B+C+D
E、A+B+C+D+E
关注下方微信公众号,在线模考后查看