试题详情
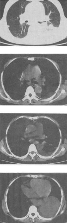
- 单项选择题 女,55岁,胸痛伴咯血丝痰1周,胸部CT如图,最可能的诊断为()。
A、转移性肺癌
B、左侧周围型肺癌并肺内转移
C、左侧中央型肺癌并肺内转移
D、多发性肺脓肿
E、结节病
- B
关注下方微信公众号,在线模考后查看
热门试题
- CT对骨巨细胞瘤的主要检查目的是检出:()
- 患者,男,60岁,腰背痛3个月,尿本一周蛋白阳性,CT示腰椎多个椎
- 异位嗜铬细胞瘤多数位于:()
- 下列关于听神经瘤的CT表现,描述不正确的是哪一项:()
- 环椎骨折最佳的检查方法是:()
- 卵巢Krukenberg氏瘤,不同于一般卵巢恶性肿瘤的突出之处在于:(
最新试题