试题详情
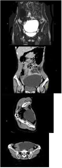
- 单项选择题 女,62岁,左下腹持续性疼痛3天,伴恶心、呕吐,左侧附件区扪及一囊性包块,活动表面光滑,压痛明显,CT和MRI检查如图所示,下列说法错误的是()。
A、左侧附件区一囊性占位性病变
B、该病灶包膜完整,边界清晰
C、膀胱向下受压移位
D、卵巢囊肿扭转
E、卵巢囊腺瘤
- E
关注下方微信公众号,在线模考后查看
热门试题
- 肝硬化脾大的主要原因是()。
- 探测器阵列呈扇形,与X线管一起同步旋转,此种CT结构属于:()
- 肝癌最有特征性的CT表现是:()
- 关于胆管癌的说法,不正确的是()。
- CT示腰4椎体后缘有一局限性软组织密度影,硬膜外脂肪层消失,硬膜
- 纵隔的胸骨后间隙主要含有:()
最新试题