试题详情
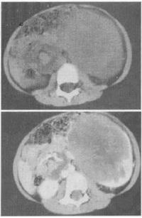
- 单项选择题 患儿,男,3岁。腹部包块伴反复发热1个月余。CT扫描见图。最有可能的诊断是()。
A、肾癌
B、肾盂癌
C、肾结核
D、肾母细胞瘤
E、肾脓肿
- D
关注下方微信公众号,在线模考后查看
热门试题
- 胰腺癌时CT影像中出现的"双管征"同时增宽、扩张是指:()
- 下列哪一项不是CT检查中减少伪影的方法:()
- 肝包虫病的影像表现不正确的是()。
- 以下对肝叶间裂和段裂描述错误的是:()
- 同层动态增强扫描主要研究病灶的增强特征,鉴别其性质,最常用于
- 下列哪项是乙状结肠扭转确诊的检查方法()。
最新试题