试题详情
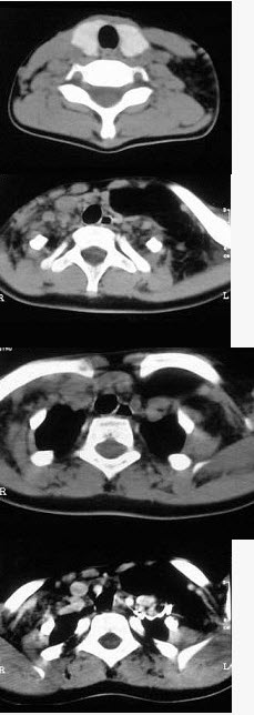
- 单项选择题女,17岁,发现左侧颈部包块半年余,PE://病灶质软,境界不清,无压痛,CT如图所示,应诊断为()。

A、颈部脂肪瘤
B、颈部畸胎瘤
C、颈部错构瘤
D、颈部淋巴管瘤
E、颈部陈旧性血肿
- A
关注下方微信公众号,在线模考后查看

热门试题
- 诊断颈动脉瘤包括()。
- 颈部良性肿瘤发病率最高的是()。
- 后天性颈动-静脉瘘的特征症状是()。
- 甲状舌管囊肿的B超声像图特征是()。
- 女,17岁,发现左侧颈部包块半年余,PE
- 颈部恶性肿块中80%是原发癌。()
- 第2鳃裂瘘管外瘘口多位于()。
- 第1鳃裂瘘管内瘘口位于()。
- 颈外动脉的体表投影()。
- 颈动脉创伤性栓塞多发生在()。
- 真性颈动脉瘤()。
- 鼻咽部结核感染颈部淋巴结的途径是()。
- 发生7年的颈部肿块一定是先天性颈部肿块。
- 颈动脉创伤性栓塞的治疗措施包括()。
- 椎-基底动脉供血不足可由下列那些因素引起
- 甲状舌管瘘管,外瘘口位于(),内瘘口位于
- 起源于舌下神经的神经鞘膜瘤多在()。
- 将颈深淋巴结分为颈深上及颈深下淋巴结的解
- 较易发生颈部淋巴结转移的恶性肿瘤有()。
- 颈深外侧肌群包括()。